Haber3 SON DAKİKA EN ÇOK OKUNANLAR MANŞETLER FOTO GALERİ VİDEO
  • Adana
  • Adıyaman
  • Afyonkarahisar
  • Ağrı
  • Amasya
  • Ankara
  • Antalya
  • Artvin
  • Aydın
  • Balıkesir
  • Bilecik
  • Bingöl
  • Bitlis
  • Bolu
  • Burdur
  • Bursa
  • Çanakkale
  • Çankırı
  • Çorum
  • Denizli
  • Diyarbakır
  • Edirne
  • Elazığ
  • Erzincan
  • Erzurum
  • Eskişehir
  • Gaziantep
  • Giresun
  • Gümüşhane
  • Hakkari
  • Hatay
  • Isparta
  • Mersin
  • İstanbul
  • İzmir
  • Kars
  • Kastamonu
  • Kayseri
  • Kırklareli
  • Kırşehir
  • Kocaeli
  • Konya
  • Kütahya
  • Malatya
  • Manisa
  • Kahramanmaraş
  • Mardin
  • Muğla
  • Muş
  • Nevşehir
  • Niğde
  • Ordu
  • Rize
  • Sakarya
  • Samsun
  • Siirt
  • Sinop
  • Sivas
  • Tekirdağ
  • Tokat
  • Trabzon
  • Tunceli
  • Şanlıurfa
  • Uşak
  • Van
  • Yozgat
  • Zonguldak
  • Aksaray
  • Bayburt
  • Karaman
  • Kırıkkale
  • Batman
  • Şırnak
  • Bartın
  • Ardahan
  • Iğdır
  • Yalova
  • Karabük
  • Kilis
  • Osmaniye
  • Düzce
BIST 10.919
Altın 5.763
Dolar 42,53
Euro 49,60
Yaşam Haber Spor Magazin Otomobil Teknoloji Kadın Sağlık Hayvanlar Alemi
SON DAKİKA
ÖĞRENCİLERE ELEKTRONİK CİHAZDA ÖTV VE KDV MUAFİYETİ TEKLİFİNİN AYRINTILARI BELLİ OLDU
  1. Anasayfa
  2. Foto Galeriler
  3. Haber
  4. Bakanlık özel hastanedeki akılalmaz skandala 2 yıl sonra soruşturma izni verdi!

Bakanlık özel hastanedeki akılalmaz skandala 2 yıl sonra soruşturma izni verdi!

Antalya'da 2021 yılında özel bir hastanede doğum yapan Y.S.'nin vücudunda unutulan 30 santimetrelik gazlı bez, çekilen tomografi ile görüldü. Uzun süre ağrı çeken ve doğumda unutulduğu 2 yıl sonra ortaya çıkan gazlı bez, ameliyatla alınırken Sağlık Bakanlığı, kadının şikayetinden 2 yıl sonra sorumlular hakkında soruşturma izni verdi.

23 Ağustos 2025  Saat: 14:40 Kaynak: DHA Güncelleme: 23 Ağustos 2025 14:46
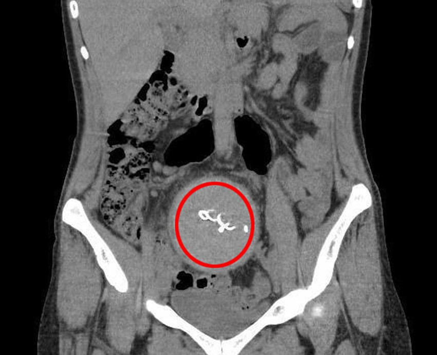
Bakanlık özel hastanedeki akılalmaz skandala 2 yıl sonra soruşturma izni verdi! - Resim: 1

Antalya'da yaşayan Y.S., 2021 yılında kızını dünyaya getirmek için özel bir hastanede doğuma girdi. Burada sezaryen ile doğumu gerçekleştirilen Y.S., taburcu edildiği gün yaşadığı kusma ve ağrı şikayetiyle tekrar aynı hastaneye başvurdu. Bağırsaklarında yaşadığı sıkıntı nedeniyle 12 gün hastanede yatan Y.S., bebeğinden de ayrı kaldı. Annesinin emziremediği bebek, mama ile beslendi. Taburcu edilen Y.S.'nin bu kez de dikişlerinden iltihap akmaya başladı. Tekrar başvuran Y.S.'ye doğumunu yaptıran doktoru D.A., iddiaya göre; durumun normal olduğunu, iltihabın zamanla biteceğini söyledi. Hastaneden ayrılan Y.S.'nin 2 yıl boyunca ara ara ağrıları ve iltihap akıntısı devam etti. Bu süre zarfında başvurduğu hastanelerden sonuç alamayan kadın, ağrıyla geçen 2 yılın ardından 2023 yılında Antalya Eğitim ve Araştırma Hastanesi'ne başvurdu. Burada yapılan kontrolde, doktor acil tomografi çektirmesini istedi. 2023 yılının Ağustos ayında çekilen tomografide, Y.S.'nin vücudunda doğum sonrası unutulan sargı bezi görüldü. Şoke olan Y.S., 2 yıldır yaşadığı ağrılara ihmalin sebep olduğunu öğrendi. Y.S.'nin karnında unutulan yaklaşık 30 santimetre uzunluğundaki gazlı bez ameliyatla alındı. Y.S., hastane ve süreç içerisinde ihmali bulunan doktorlar hakkında savcılığa suç duyurusunda bulundu.

1 / 4
Bakanlık özel hastanedeki akılalmaz skandala 2 yıl sonra soruşturma izni verdi! - Resim: 2

Çok zor günler yaşadığını belirten Y.S., 2 yıl boyunca ağrılarının ve ara ara iltihap akışının devam ettiğini söyledi. Y.S., "Farklı hastanelere de başvurdum ancak kimse teşhis koyamadı. En son Antalya Eğitim ve Araştırma Hastanesi'ne başvurdum. Burada bana doğum sırasında vücudumda sargı bezi kaldığı söylendi. Doğum yaptığımda 10 gün boyunca ağrılarım yüzünden çocuğumu kucağıma bile alamamıştım" diye konuştu. Suç duyurusunun ardından Sağlık Bakanlığı, olayla ilgili inceleme başlattı. İncelemede dosyada adı geçen sağlık personelinin ifadesine başvuruldu. Doktor D.A. ifadesinde; sorunsuz bir şekilde doğumun gerçekleştiğini, Y.S.'nin 2 gün sonra sağlıklı şekilde taburcu edildiğini, tıbbi kayıtlara göre ameliyathanedeki malzeme sayısının kayıtlara göre tam olduğunu söyledi. D.A. ifadesinin devamında, "Y.S.'ye yapılan ultrasonda yabancı bir cisim gözlenmedi. Gazlı bez tüm dikkatimize ve sayımımıza rağmen operasyon sırasında hastanın vücudunda kalmışsa steril olduğundan hastaya tıbbi bir zarar vermemiştir" dedi.

2 / 4
Bakanlık özel hastanedeki akılalmaz skandala 2 yıl sonra soruşturma izni verdi! - Resim: 3

İfadesi alınanlar arasında yer alan ameliyathane hemşiresi Ö.Ö., pandemi sürecinde kendi hayatlarını hiçe sayarak anne ve bebeğin hayatını düşünerek hareket ettiklerini, ameliyat sonrasında malzemelerin tam olarak doktora bildirildiğini söyledi. Radyolojik görüntülemeyi yapan doktor E.B. ise doktor D.A.'nın talebi ile Y.S.'de yapılan görüntülemede; akciğer ve damarlara yönelik inceleme yaptığını, batındaki bir patolojinin görülmesinin imkansız olduğunu, incelemede bağırsakta genişleme ve sıvı gördüğünü söyledi. Doktor E.B. ifadesinin devamında şöyle dedi: "İnceleme alanıma girdiği kadarıyla batındaki bağırsak anslarında ileri derecede distansiyon (karın şişliği) olduğundan bahsedilmiştir. Yapılan ikinci gözlemde de bağırsaklarda geçiş tıkanıklığı tanısı konulmuştur. Benim gerçekleştirdiğim işlemde herhangi bir eksik ve atlama yoktur. Aksine Gossypiboma (hastanın vücudunda yabancı cisim unutulması) varlığında erken dönemde görülebilecek en olası patolojik durum olan tıkanıklık tanısı konulmuştur. Bundan sonrası klinisyenin değerlendirmesiyle sonuçlandırılabilecek bir süreçtir. Kullanılan gazlı bezin radyopak madde ile işaretli olmaması da tanısal gecikmede rol oynamıştır."

3 / 4
Bakanlık özel hastanedeki akılalmaz skandala 2 yıl sonra soruşturma izni verdi! - Resim: 4

Sağlık Bakanlığı'nın Mesleki Sorumluluk Kurulu tarafından yapılan ön inceleme sonucunda, Doktor D.A., ameliyathane hemşiresi Ö.Ö., Uzman Doktor N.K., Uzman Doktor E.B. hakkında eylemlerin adli mercilerle aydınlatılması gerektiği belirtilerek, şikayetten 2 yıl sonra soruşturma izni verildi. (DHA)

4 / 4
Haber3
Gizlilik İlkeleri Künye İçerik Kaldırma Talebi Reklam İletişim İnsan Kaynakları

Yasal Uyarı: Sitemizdeki tüm yazı, resim ve haberlerin her hakkı saklıdır. İzinsiz, kaynak gösterilmeden kullanılması kesinlikle yasaktır.

Yazılım & Tasarım:
Bilgin Pro
Haber3
  • Anasayfa
  • Son Dakika
  • Manşetler
  • Çok Okunanlar
  • Foto Galeri
  • Yazarlar
  • Güncel
  • Ekonomi
  • Memur
  • Çalışma Hayatı
  • Otomobil / Motosiklet
  • Magazin
  • Spor
  • Dünya
  • Medya
  • Kadın
  • Sağlık
  • Teknoloji
  • Sitene Ekle
  • Hava Durumu
  • İçerik Kaldırma Talebi
  • RSS
© 2025 Haber3.com Tüm hakları saklıdır. İçeriklerin izinsiz kopyalanması yasaktır.