Haber3 SON DAKİKA EN ÇOK OKUNANLAR MANŞETLER FOTO GALERİ VİDEO
  • Adana
  • Adıyaman
  • Afyonkarahisar
  • Ağrı
  • Amasya
  • Ankara
  • Antalya
  • Artvin
  • Aydın
  • Balıkesir
  • Bilecik
  • Bingöl
  • Bitlis
  • Bolu
  • Burdur
  • Bursa
  • Çanakkale
  • Çankırı
  • Çorum
  • Denizli
  • Diyarbakır
  • Edirne
  • Elazığ
  • Erzincan
  • Erzurum
  • Eskişehir
  • Gaziantep
  • Giresun
  • Gümüşhane
  • Hakkari
  • Hatay
  • Isparta
  • Mersin
  • İstanbul
  • İzmir
  • Kars
  • Kastamonu
  • Kayseri
  • Kırklareli
  • Kırşehir
  • Kocaeli
  • Konya
  • Kütahya
  • Malatya
  • Manisa
  • Kahramanmaraş
  • Mardin
  • Muğla
  • Muş
  • Nevşehir
  • Niğde
  • Ordu
  • Rize
  • Sakarya
  • Samsun
  • Siirt
  • Sinop
  • Sivas
  • Tekirdağ
  • Tokat
  • Trabzon
  • Tunceli
  • Şanlıurfa
  • Uşak
  • Van
  • Yozgat
  • Zonguldak
  • Aksaray
  • Bayburt
  • Karaman
  • Kırıkkale
  • Batman
  • Şırnak
  • Bartın
  • Ardahan
  • Iğdır
  • Yalova
  • Karabük
  • Kilis
  • Osmaniye
  • Düzce
BIST 11.454
Altın 5.957
Dolar 42,70
Euro 50,24
Yaşam Haber Spor Magazin Otomobil Teknoloji Kadın Sağlık Hayvanlar Alemi
  1. Anasayfa
  2. Foto Galeriler
  3. Sağlık
  4. Cinsel organından çıkan ''şey'' doktorları bile şoke etti

Cinsel organından çıkan ''şey'' doktorları bile şoke etti

Doktorları bile şaşkına çeviren olay Japonya'da yaşandı. Hastaneye yoğun ağrı şikayetiyle başvuran 79 yaşındaki bir kişinin cinsel organından 2 metreden uzun bir ip çıktı.

15 Kasım 2022  Saat: 09:17 Güncelleme: 14 Şubat 2024 15:52
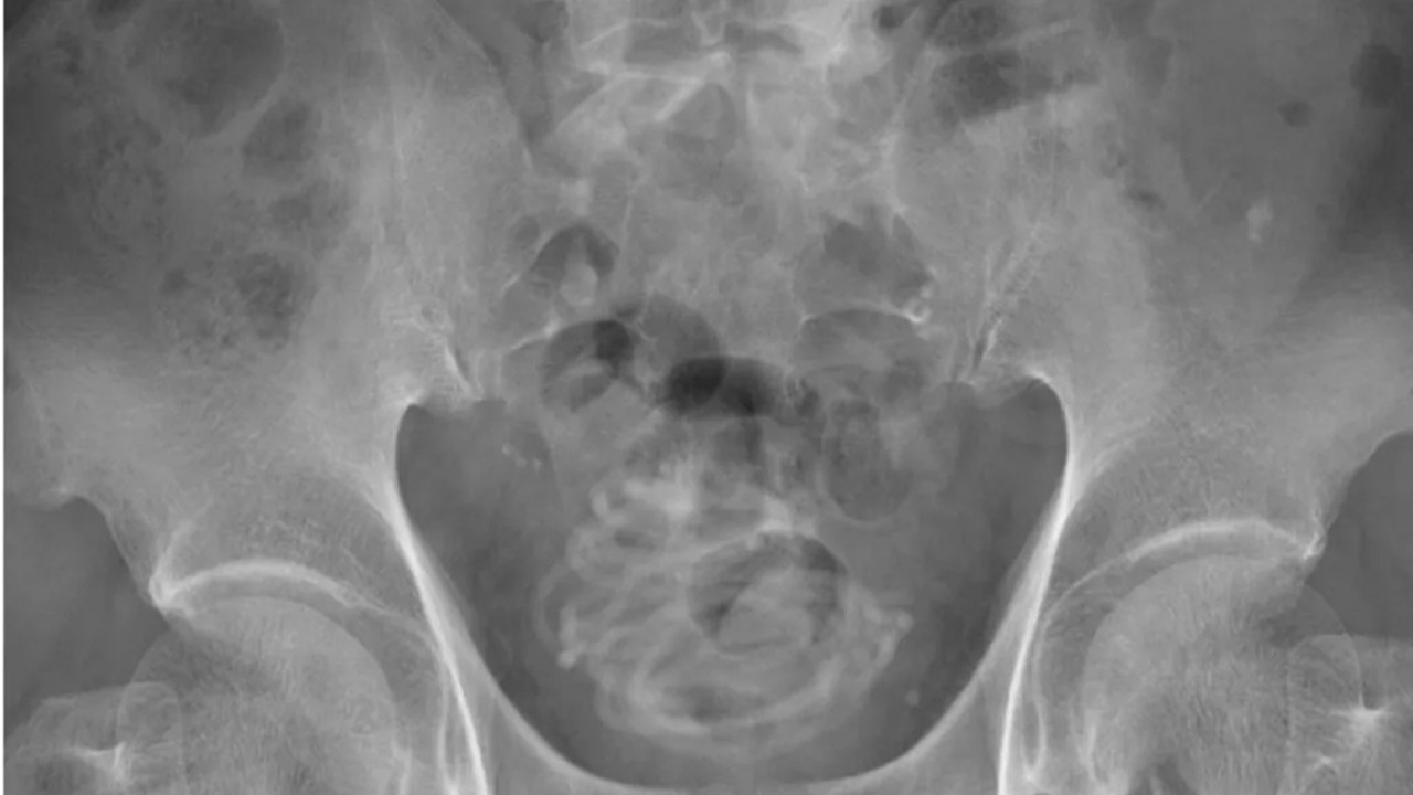
Cinsel organından çıkan ''şey'' doktorları bile şoke etti - Resim: 1

Olay Japonya’da meydana geldi. Ağrılar içinde hastaneye kaldırılan ismi açıklanmayan adam kasıklarında acı hissettiğini söyledi. Dokkyo Tıp Fakültesi’nde gerçekleşen olayda adamın tuvalete çıkarken yanma hissi hissettiği de belirtildi. Röntgen çekildikten sonra adamın penisinden içeri atlama ipi yerleştirildiğini gören doktorlar şaşkına döndü. İngiliz medyasında yer alan haberlerde hastane çalışanları, “Kariyerimiz boyunca bu kadar aşırı bir şey görmedik” açıklamasını yaptı.

1 / 4
Cinsel organından çıkan ''şey'' doktorları bile şoke etti - Resim: 2

Yapılan zorlu bir ameliyat süreci sonrasında adamın penisinden atlama ipinin çıkarıldığı belirtildi. Atlama ipinin tutma kısımlarının olmadığı ve 2 metreden uzun olduğu belirtildi. İpin, idrar torbasında düğüm olduğu ve bu sebeple ameliyatın riskli geçtiği de belirtildi.

2 / 4
Cinsel organından çıkan ''şey'' doktorları bile şoke etti - Resim: 3

İpin ince olduğuna dikkat çeken doktorlar, ipin düğüm olması sebebiyle idrar torbasına bir delik açarak cerrahi bir müdahale gerçekleştirildiğini de duyurdu. Ameliyatın başarılı geçmesi için idrar torbasının 3-D modelinin yapıldığı ve bu sayede doktorların nasıl müdahale edeceklerinin anlaşıldığı açıklandı.

3 / 4
Cinsel organından çıkan ''şey'' doktorları bile şoke etti - Resim: 4

Tokyo’nun 160 kilometre uzağında yaşanan olay Urology Case Reports isimli tıp dergisinde yayınlandı. Araştırmayı kaleme alan ve operasyonda da yer alan Profesör Toshiki Kijima, “Tarama ve modelleme teknolojisi ameliyatın başarılı geçmesine katkı sağladı” dedi. Fakat bilim insanları 79 yaşındaki adamın, bu ipi neden cinsel organına soktuğunu açıklamadığını dile getirdi.

4 / 4
Haber3
Gizlilik İlkeleri Künye İçerik Kaldırma Talebi Reklam İletişim İnsan Kaynakları

Yasal Uyarı: Sitemizdeki tüm yazı, resim ve haberlerin her hakkı saklıdır. İzinsiz, kaynak gösterilmeden kullanılması kesinlikle yasaktır.

Yazılım & Tasarım:
Bilgin Pro
Haber3
  • Anasayfa
  • Son Dakika
  • Manşetler
  • Çok Okunanlar
  • Foto Galeri
  • Yazarlar
  • Güncel
  • Ekonomi
  • Memur
  • Çalışma Hayatı
  • Otomobil / Motosiklet
  • Magazin
  • Spor
  • Dünya
  • Medya
  • Kadın
  • Sağlık
  • Teknoloji
  • Sitene Ekle
  • Hava Durumu
  • İçerik Kaldırma Talebi
  • RSS
© 2025 Haber3.com Tüm hakları saklıdır. İçeriklerin izinsiz kopyalanması yasaktır.