Erkek çocuk doğurmak için kafasına çivi çaktırdı

Erkek çocuk doğurmak için kafasına çivi çaktırdı
Güncelleme:

Pakistan'da hamile bir kadın, dördüncü bebeğinin erkek olması için kafasına 5 santimlik çivi çaktırdı.

Daha önce üç kız çocuğu dünyaya getiren ve dördüncü bebeğini bekleyen hamile kadın, erkek bebek doğurmak için akıl almadık bir yönteme başvurdu. Kocasının, üç kız çocuğundan sonra yine bir kız bebek dünyaya getirirse kendisini terk edeceğini söylemesi üstüne çaresizliğe düşen kadın, çareyi bir şifacıda aradı.

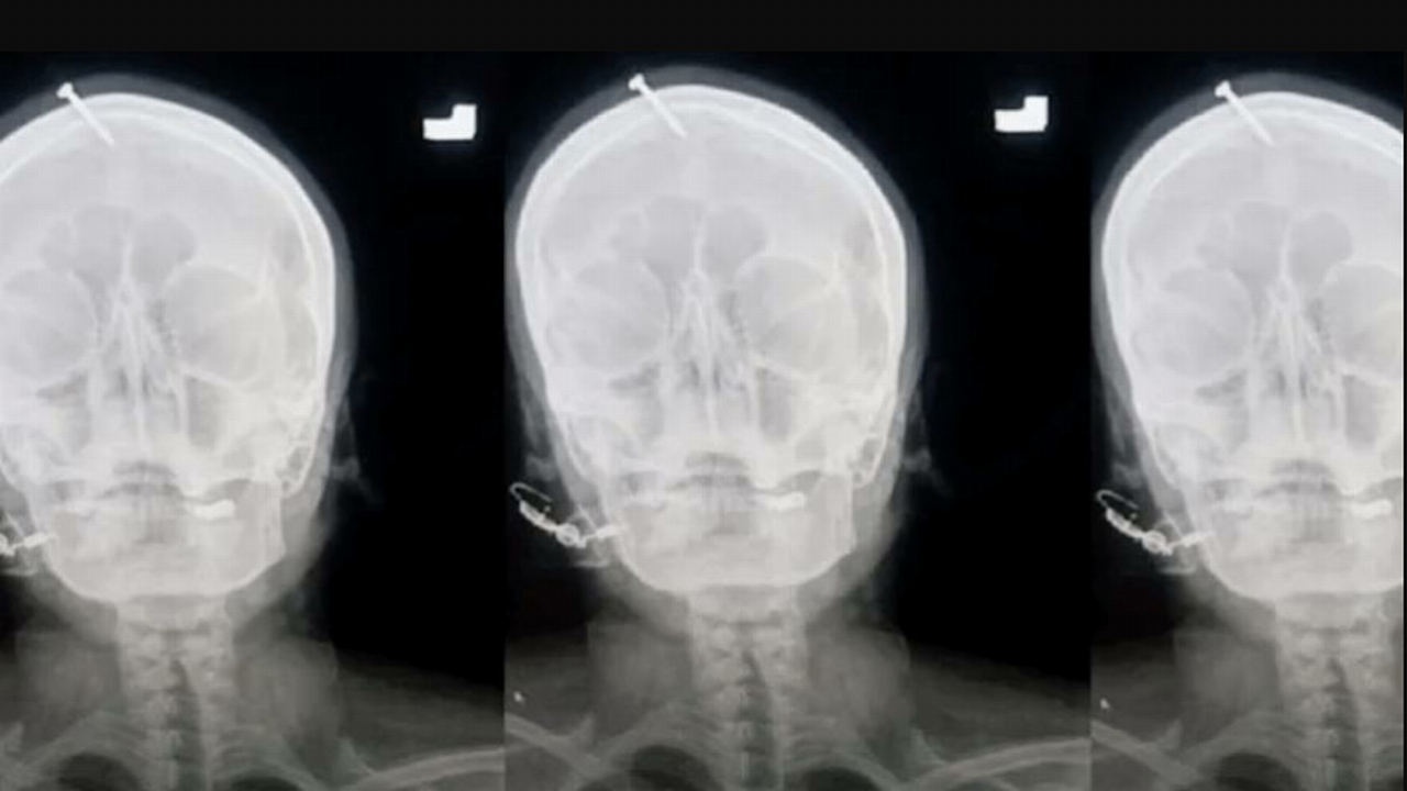
Polis tarafından henüz kimliği belirlenemeyen kadın, bu hafta Pakistan’daki Lady Reading Hastanesine kafatasından yoğun kanama ile geldi. İlk başta Peşaver şehri sağlık personeline, doğmamış çocuğunun cinsiyetinin erkek olmasını garantilemek için ilahiler okumasının ve kendi kafasına çivi çakmasının tavsiye edildiğini söyledi.

Polisin araştırmaları üzerine kafasındaki yaranın kendi kendine açılmasının imkânsız olduğu ve başka birinin çekiçle yaptığı sonucuna ulaşıldı.

Hastanedeki beyin cerrahı Haider Suleman yerel basına, kadının kanaması olduğunu ve geldiğinde çok acı çektiğini, ancak aklının yerinde olduğunu söyledi. Doktor, gazetecilere verdiği demeçte olayla ilgili şunları söyledi: “Yöresindeki bir kadının, bir çiviyi kafasına saplayarak ultrasonda kız görünmesine rağmen bir erkek çocuk doğurduğunu söyledi. Doktorlar ameliyat ile çiviyi çıkarabildiler.”

Hastaneye gelen kadının olağan dışı kafa travmasının görüntüleri internette hızla yayıldı. Görüntüler üzerine harekete geçen polis, şimdi şifacı olduğunu iddia eden ve bu yaralanmaya neden olan kadını arıyor.

Peşaver polisi, suçluyu bulmak için CCTV görüntülerini kullanarak kafatasındaki çivi çıkarıldıktan hemen sonra hastaneden ayrılan hamile kadının adımlarını takip etmeye çalışıyor. Polis, Twitter’dan yaptığı açıklamada, “Kurbanı güvenlik kamerası görüntülerinden ve bilgisayar verilerinden belirleme süreci devam ediyor” dedi. Yerel polis şefi de, masum bir kadının hayatıyla oynayan ve bir erkek çocuk vaadiyle onun kafasına çivi çakan sahte şifacının yargılanması için özel bir ekip kurulduğunu söyledi. Ekip ayrıca sağlık personelinin olay hakkında yetkilileri neden uyarmadığını da araştırıyor.

Çocuğunun cinsiyetini belirlemek için ultrason yaptırmayan kadın; polise, dördüncü kızı olursa kocasının kendisini terk etmekle tehdit ettiğini söyledi.

text-ad
30 yıldır kapalı olan yollar açıldı; köye dönüş hazırlığı başladı 30 yıldır kapalı olan yollar açıldı; köye dönüş hazırlığı başladı Trafikte kadın sürücüye küfür yağdırıp aracına zarar veren maganda yakalandı! Trafikte kadın sürücüye küfür yağdırıp aracına zarar veren maganda yakalandı! Öğrencilere elektronik cihazda ÖTV ve KDV muafiyeti teklifinin ayrıntıları belli oldu Öğrencilere elektronik cihazda ÖTV ve KDV muafiyeti teklifinin ayrıntıları belli oldu Ünlü şarkıcının sahnesinde olay: Eşine küfür ve hakaret edildi, ortalık karıştı! Ünlü şarkıcının sahnesinde olay: Eşine küfür ve hakaret edildi, ortalık karıştı! Evrim Akın hakkındaki suçlamaları olay olan Asena Keskinci'nin erotik sahneleri tepki çekti Evrim Akın hakkındaki suçlamaları olay olan Asena Keskinci'nin erotik sahneleri tepki çekti Merih Demiral imzayı attı, maaşını duyanlar inanamadı... Merih Demiral imzayı attı, maaşını duyanlar inanamadı... Haftasonunun hava durumu raporu açıklandı: Sağanak yağışlar çok kuvvetli geliyor! Haftasonunun hava durumu raporu açıklandı: Sağanak yağışlar çok kuvvetli geliyor! Futbolda bahis operasyonu: Ahmet Çakar, Zorbay Küçük, Mert Hakan Yandaş gözaltında! Futbolda bahis operasyonu: Ahmet Çakar, Zorbay Küçük, Mert Hakan Yandaş gözaltında! İslam Memiş gram altında herkesi şaşırtan tahminini ve 2026'nın şampiyonu olacak yatırımı açıkladı! İslam Memiş gram altında herkesi şaşırtan tahminini ve 2026'nın şampiyonu olacak yatırımı açıkladı! 13 yaşındaki çocuğu hamile bırakıp ''17 yaşında sandım'' diyen şüpheli serbest bırakıldı! 13 yaşındaki çocuğu hamile bırakıp ''17 yaşında sandım'' diyen şüpheli serbest bırakıldı!
Hepsi 15 bin TL'nin altında... Türkiye’de kiraların en düşük olduğu 15 il belli oldu Hepsi 15 bin TL'nin altında... Türkiye’de kiraların en düşük olduğu 15 il belli oldu Emlak vergisi hesabı değişti, zam oranı belli oldu, üst sınır getirildi! Emlak vergisi hesabı değişti, zam oranı belli oldu, üst sınır getirildi! Ekranların 3 güzel haber sunucusu gözaltında! Ekranların 3 güzel haber sunucusu gözaltında! Beren Saat'in cesur sahneleriyle olay olan filmi vizyona girmeden yayından kaldırıldı! Beren Saat'in cesur sahneleriyle olay olan filmi vizyona girmeden yayından kaldırıldı! Büyük tepki çeken üst düzey memura ''30 bin TL seyyanen zam'' geri çekildi! Büyük tepki çeken üst düzey memura ''30 bin TL seyyanen zam'' geri çekildi! Turuncu alarm verilen ilçede korkulan oldu: Cadde ve sokaklar sular altında! Turuncu alarm verilen ilçede korkulan oldu: Cadde ve sokaklar sular altında! Arabeskin kraliçesi Güllü'nün ölümüyle ilgili şok iddia: ''İtildiği anlar kameda!'' Arabeskin kraliçesi Güllü'nün ölümüyle ilgili şok iddia: ''İtildiği anlar kameda!'' Elinde 50 bin canın kanı olan bebek katili teröristbaşı meğer ''silah bırakın'' dememiş! Elinde 50 bin canın kanı olan bebek katili teröristbaşı meğer ''silah bırakın'' dememiş! Ankara'da Türkiye'yi ayağa kaldıran olay! Yıllardır kuş kafesine hapsedilen çocuk kurtarıldı! Ankara'da Türkiye'yi ayağa kaldıran olay! Yıllardır kuş kafesine hapsedilen çocuk kurtarıldı! Savaştan kurtarılıp Türkiye'ye getirilen Ukraynalı yetimlere istismar iddiasında yeni gelişme! Savaştan kurtarılıp Türkiye'ye getirilen Ukraynalı yetimlere istismar iddiasında yeni gelişme!